
STRAIGHTSPRO MAX
ALIGNERS
MADE IN THE UK
Dentist-Led Clear Aligners, Designed for Precision, Built To Last
Explore PRO MAX ALIGNERS

NANOHYDROCOMPOSITE BONDING
Freehand Composite Bonding Designed for Lasting Smile Enhancement
Explore NANOHYDRO BONDING
0k+
Smiles Transformed
100%
Dentist-Led
0.0
Rated By Real Patients
0%
APR finance available*
Exceptional Results Delivered
Your smile is designed with care, delivered with expertise, and built for long term confidence.
Sophie
NanoHydro Composite Bonding (Top 10)
Sarah
STRAIGHTS Pro MAX Aligners (2 Months) STRAIGHTS Whitening
David
STRAIGHTS Pro MAX Aligners (5 Months) NanoHydro Composite Bonding (Top and Bottom 10)
Poppy
STRAIGHTS Pro MAX Aligners (4 Months)
Natalie
STRAIGHTS Pro MAX Aligners (5 Months) NanoHydro Composite Bonding (Top 8)
Peta
STRAIGHTS Pro MAX Aligners (6 Months) NanoHydro Composite Bonding (Top 10)
Simone
STRAIGHTS Pro MAX Aligners (6+ Months) NanoHydro Composite Bonding (Top and Bottom 10)
Katie
STRAIGHTS Pro MAX Aligners (3 Months) NanoHydro Composite Bonding (Top and Bottom 6)
Adam
STRAIGHTS Pro MAX Aligners (6+ Months)
Sophie
NanoHydro Composite Bonding (Top 10)
Sarah
STRAIGHTS Pro MAX Aligners (2 Months) STRAIGHTS Whitening
David
STRAIGHTS Pro MAX Aligners (5 Months) NanoHydro Composite Bonding (Top and Bottom 10)
Poppy
STRAIGHTS Pro MAX Aligners (4 Months)
Natalie
STRAIGHTS Pro MAX Aligners (5 Months) NanoHydro Composite Bonding (Top 8)
Peta
STRAIGHTS Pro MAX Aligners (6 Months) NanoHydro Composite Bonding (Top 10)
Simone
STRAIGHTS Pro MAX Aligners (6+ Months) NanoHydro Composite Bonding (Top and Bottom 10)
Katie
STRAIGHTS Pro MAX Aligners (3 Months) NanoHydro Composite Bonding (Top and Bottom 6)
Adam
STRAIGHTS Pro MAX Aligners (6+ Months)
Your Journey to a STRAIGHTS Approved Smile
Step 1 of 4

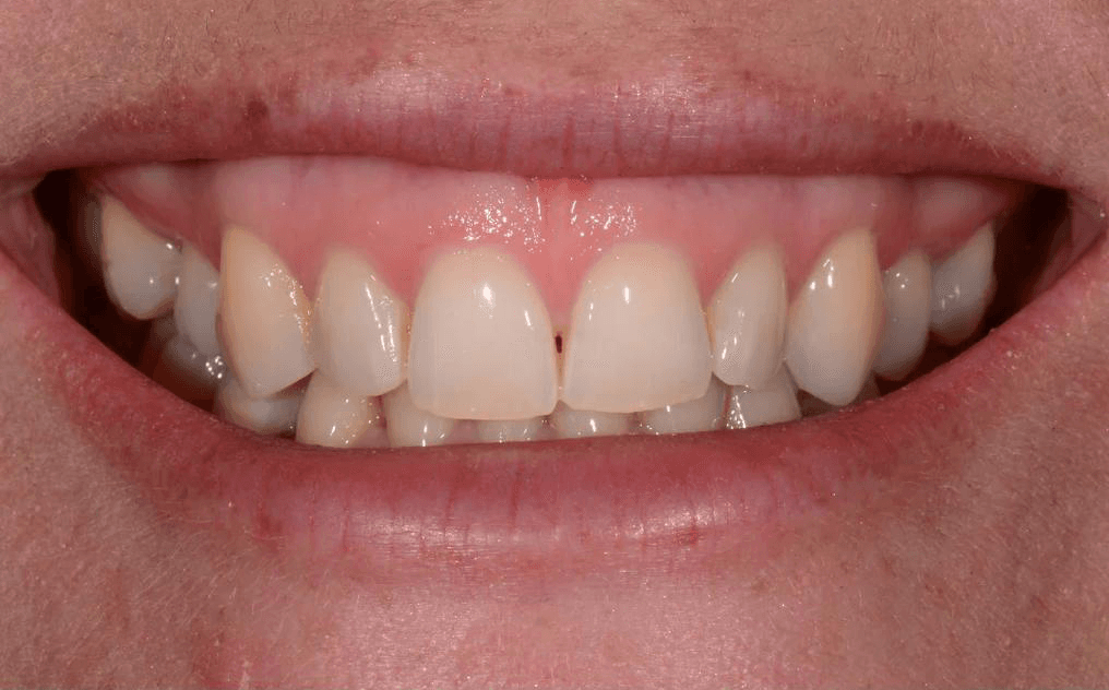
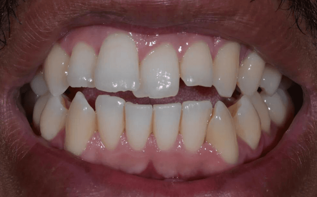
Hear From People Who Chose STRAIGHTS
See real transformations and hear what STRAIGHTS patients say about their treatment.


Built on Clinical Expertise
STRAIGHTS is clinically led by Dr Affan, an expert in advanced teeth straightening and full smile transformation.
- Over 7,000 completed Clear Aligner cases
- 10,000+ Composite Bonding cases
- Lectured and trained dentists internationally
- Developed advanced treatment planning systems
Trusted By Leading UK Dentists
STRAIGHTS treatment is delivered through carefully selected dentists who share our commitment to doing things properly.

Dr Abbas
STRAIGHTS Preston

Dr Aman
STRAIGHTS Leeds

Dr Arfan
STRAIGHTS Preston

Dr Bijan
STRAIGHTS Hull

Dr Claire
STRAIGHTS Southport

Dr Conal
STRAIGHTS Sheffield

Dr Hassan
STRAIGHTS Leeds

Dr Izza
STRAIGHTS Hartlepool

Dr Laura
STRAIGHTS Coventry

Dr Mo
STRAIGHTS Manchester

Dr Stevie
STRAIGHTS Leeds

Dr Zeb
STRAIGHTS Wakefield
National UK Coverage
Access expert, dentist-led treatment through our trusted network of STRAIGHTS partners nationwide
All STRAIGHTS dentists are fully verified and UK-registered.
Straights is a trading name of Straights Global Limited, our FCA registration number is 1015518. Straights Global Limited is an Appointed Representative of Space DP Limited who are authorised and regulated by the Financial Conduct Authority, firm reference number 1012302. Space DP Limited is the broker and not the lender and only offers credit products from Secure Trust Bank PLC trading as V12 Retail Finance. The permissions of Space DP Limited as a Principal firm allow Straights Global Limited to undertake credit broking. *Credit provided subject to age and status. Minimum spend applies. Not all products offered by Secure Trust Bank PLC are regulated by the Financial Conduct Authority.
Where required by law, loans will be regulated by the Financial Conduct Authority and the Consumer Credit Act 1974. Medenta Finance Limited, authorised and regulated by the Financial Conduct Authority No: 715523. Registered in Scotland, No: SC276679. Registered address: 50 Lothian Road, Festival Square, Edinburgh, EH3 9WJ. Tel: 01691 684175. Medenta act as a credit broker, not the lender and will introduce businesses to V12 Retail Finance Limited for which they will receive a commission. The amount of commission will vary depending on the product chosen and amount borrowed.
Not all products offered by Secure Trust Bank PLC are regulated by the Financial Conduct Authority.
SV12 Retail Finance Limited is authorised and regulated by the Financial Conduct Authority. Registration number:679653. Registered office: Yorke House, Arleston Way, Solihull, B90 4LH. Correspondence address: 25-26 Neptune Court, Vanguard Way, Cardiff, CF24 5PJ. V12 Retail Finance Limited act as a credit broker, not a lender, and only offers credit products from Secure Trust Bank PLC for which they will receive a commission, the amount will vary depending on the amount of credit taken out but will not vary depending on the product chosen. Secure Trust Bank PLC trading as V12 Retail Finance is authorised by the Prudential Regulation Authority and regulated by the Financial Conduct Authority and the Prudential Regulation Authority. Registration number: 204550. Registered office: Yorke House, Arleston Way, Solihull, B90 4LH. Terms and conditions apply. Written quotations are available on request from Secure Trust Bank PLC. Credit facilities are subject to status and affordability checks and only available to UK residents over the age of 18. Secure Trust Bank PLC reserves the right to decline any application. APR and repayment details are correct at time of publish. Telephone calls are recorded for training and compliance purposes by the Financial Conduct Authority and the Consumer Credit Act 1974. Medenta Finance Limited, authorised and regulated by the Financial Conduct Authority No: 715523. Registered in Scotland, No: SC276679. Registered address: 50 Lothian Road, Festival Square, Edinburgh, EH3 9WJ. Tel: 01691 684175. Medenta act as a credit broker, not the lender and will introduce businesses to V12 Retail Finance Limited for which they will receive a commission. The amount of commission will vary depending on the product chosen and amount borrowed. V12 Retail Finance Limited is authorised and regulated by the Financial Conduct Authority. Registration number:679653. Registered office: Yorke House, Arleston Way, Solihull, B90 4LH. Correspondence address: 25-26 Neptune Court, Vanguard Way, Cardiff, CF24 5PJ. V12 Retail Finance Limited act as a credit broker, not a lender, and only offers credit products from Secure Trust Bank PLC for which they will receive a commission, the amount will vary depending on the amount of credit taken out but will not vary depending on the product chosen. Secure Trust Bank PLC trading as V12 Retail Finance is authorised by the Prudential Regulation Authority and regulated by the Financial Conduct Authority and the Prudential Regulation Authority. Registration number: 204550. Registered office: Yorke House, Arleston Way, Solihull, B90 4LH.
Terms and conditions apply. Written quotations are available on request from Secure Trust Bank PLC. Credit facilities are subject to status and affordability checks and only available to UK residents over the age of 18. Secure Trust Bank PLC reserves the right to decline any application. APR and repayment details are correct at time of publish. Telephone calls are recorded for training and compliance purposes.
Representative Example: Total amount of Credit £1,196.00. Total charge for credit £472.60. Total Amount Repayable £1,668.60. Repayable by 60 monthly payments of £27.81. Representative 14.9% APR. Example based upon treatment costing £1,196.00 repayable over 60 months. Acceptance is subject to status. Terms and conditions apply.
Space Dental also offers an alternative second line finance offering in terms of an interest bearing credit facility through Snap Finance Ltd at Representative 29.9% APR if declined first line finance. Snap Finance Ltd act as the lender. Credit Subject to Status. Terms and conditions apply. Snap Finance Ltd is a company registered in England and Wales. Registered Number 08080202. Registered address: Snap Finance Ltd, 1 Vincent Avenue, Crownhill, Milton Keynes MK8 0AB.
Any promotion and/or advertisement for credit facilities made on this website do not reference Snap Finance Ltd. Customers will only be offered Snap Finance at the discretion of Space Dental.


















